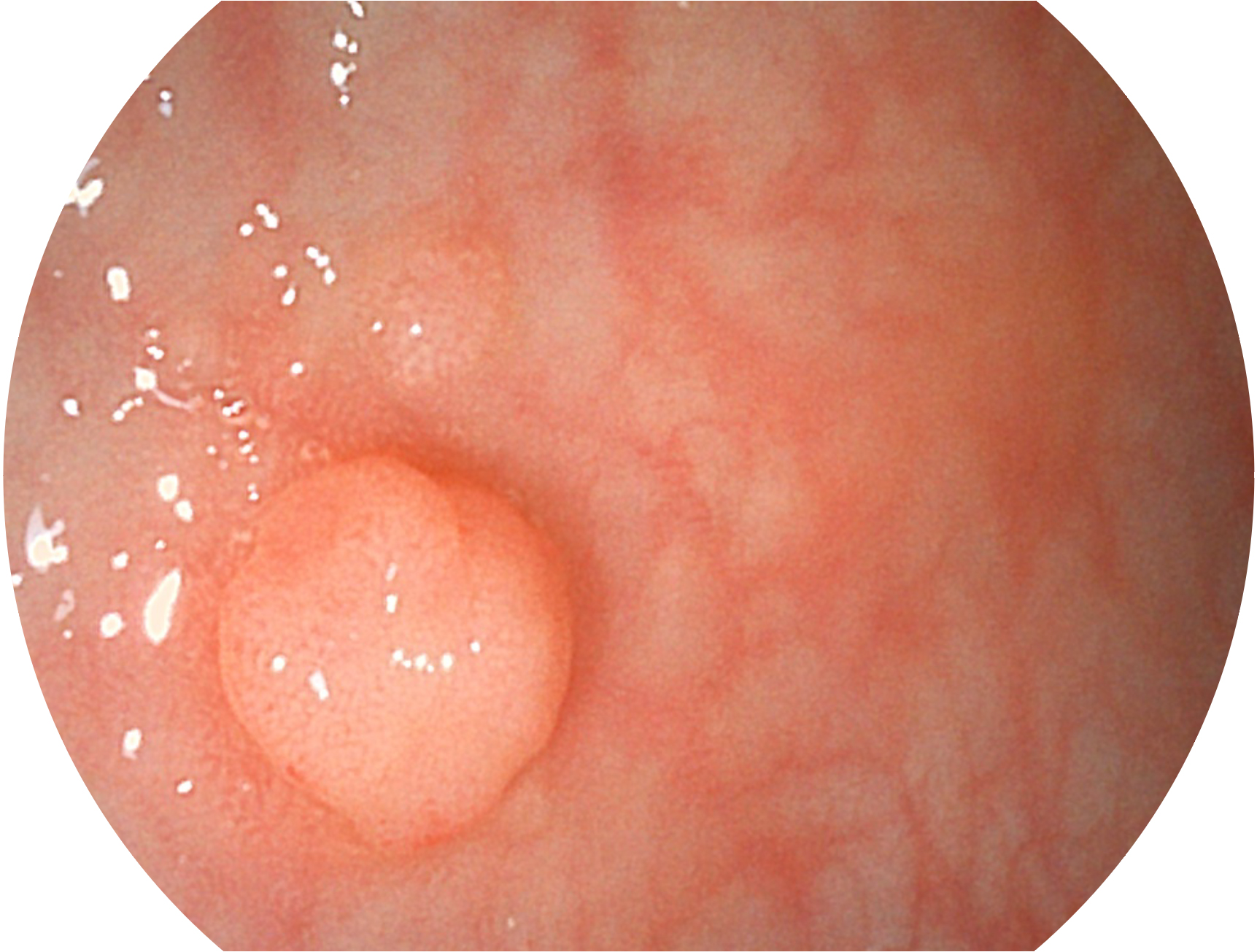
助力消化道早期疾病诊断
亚星官网新开发的内镜染色技术,主要是基于多波长LED 光源的开发,VLS-55Q 四波长LED 光源是由四个不同颜色的LED光按照相应照明模式所规定的特定发光比例进行合束后形成,合束后形成的照明光的光谱由红光、绿光、蓝光及蓝紫光这四个不同的波段范围构成。具有更高光谱自由度,通过光谱比例的控制,实现了聚谱成像技术,英文全称为“Spectral Focused Imaging, SFI”,缩写为“SFI”和光电复合染色成像技术,英文全称为“Versatile Intelligent Staining Technology, VIST”,缩写为“VIST”。


